Endostory No.15: Hành trình hậu ESD: Biến chứng không ngờ và cách xử lý
Trong nội soi can thiệp, đôi khi chúng ta nghĩ rằng thách thức lớn nhất đã qua khi cắt trọn được một tổn thương phức tạp. Nhưng thực tế, hành trình hậu ESD có thể còn ẩn chứa nhiều bất ngờ hơn cả quá trình làm thủ thuật. Ca lâm sàng của ENDOSTORY #15 tuần này sẽ là một minh họa rõ ràng cho điều đó: một khối u lớn dạng LST ở manh tràng được xử trí thành công, nhưng biến cố thực sự lại xuất hiện ở những ngày theo dõi sau can thiệp.
Giới thiệu ca bệnh
Bệnh nhân nam, 71 tuổi, tiền sử khỏe mạnh, phát hiện đa polyp đại trực tràng khi nội soi tầm soát tại tuyến dưới và được chuyển lên khám ở tuyến trên.
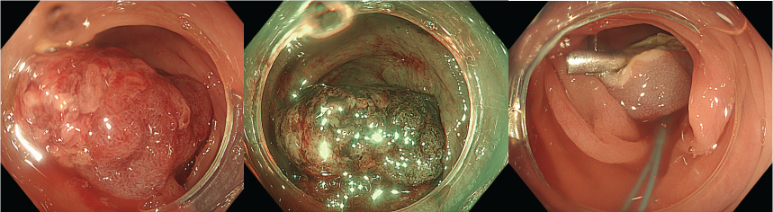
Trong quá trình nội soi, bác sĩ đã phát hiện tổn thương LST-G nodular mixed với kích thước khoảng 50mm tại vị trí manh tràng trên nền đa polyp đại tràng. Nội soi với NBI đánh giá tổn thương cấu trúc biểu mô bề mặt dạng tuyến ống, nhung mao, và mạch máu tương đối đồng nhất, khẩu kính không lớn, đọng nhiều dịch nhày và xuất tiết, đánh giá JNET Type 2A.


Vị trí manh tràng, trong nội soi, được đánh giá là vị trí đặc biệt khó khăn, do thao tác ống soi ở vùng này bị hạn chế. Bên cạnh đó, thành ruột mỏng, nhiều mỡ hơn so với vị trí khác, nên nếu tổn thương ở đáy manh tràng thì lớp cơ sẽ thẳng đứng nên cần phải rất cẩn thận. Hơn nữa, manh tràng còn ở vị trí sâu nhất của đại tràng, nên khi biến chứng muộn như thủng muộn, chảy máu muộn,… sẽ khó bảo tồn hơn. Chính vì thế, khi xác định làm can thiệp ESD tại vị trí này, bác sĩ sẽ cần lưu ý:
- Khả năng thao tác ống soi có vấn đề gì không
- Xác định vị trí tương quan với lỗ ruột thừa và van hồi manh tràng
- Tối ưu hoá quá trình bóc tách bằng trọng lực
- Cân nhắc sử dụng traction khi gặp khó khăn
Tiến hành can thiệp ESD
Với ca bệnh này, bác sĩ quyết định sẽ ưu tiên can thiệp tổn thương tại vị trí manh tràng trước. Do dự tính vị trí khó và thời gian can thiệp lâu, các polyp còn lại sẽ được can thiệp vào lần điều trị sau.
Kết quả, ca can thiệp kéo dài 100 phút, bệnh nhân được can thiệp thành công mà không xảy ra biến chứng gì trong can thiệp.

Hành trình hậu ESD – Những ngày căng thẳng nhất
Ngày thứ nhất, bệnh nhân tỉnh táo, không sốt, không đau bụng, khám bụng mềm. Tuy nhiên, do tuổi cao, kích thước tổn thương lớn và vị trí manh tràng nên bệnh nhân được đánh giá thuộc diện nguy cơ cao biến chứng muộn, được theo dõi rất kĩ lưỡng. Bệnh nhân được chỉ định nhịn ăn hoàn toàn, truyền dịch, dinh dưỡng tĩnh mạch và kháng sinh dự phòng.

Sang ngày thứ hai, bệnh nhân bắt đầu đau bụng hạ vị lệch phải (vị trí can thiệp), sốt nhẹ 37,5 độ C, có chướng hơi (GAS+). Khám vẫn thấy bụng mềm, không phản ứng thành bụng rõ. Đây là thời điểm khó khăn trong lâm sàng – phải phân biệt giữa thủng muộn và hội chứng đông điện sau ESD (PECS).
Hội chứng đông điện sau ESD (Post ESD coagulation syndrome – PECS) là tình trạng viêm phúc mạc khu trú kèm theo đau bụng, sốt và tăng phản ứng viêm, phần lớn các trường hợp có thể chữa khỏi bằng điều trị triệu chứng. Hiện tại, các yếu tố nguy cơ và phương pháp phòng ngừa vẫn chưa rõ ràng, đôi khi khó phân biệt với thủng muộn, điều quan trọng là phải thực hiện kiểm tra hình ảnh khi cần thiết và không bỏ sót các trường hợp cần phẫu thuật.
Các yếu tố nguy cơ của PECS bao gồm: nữ giới, vị trí đại tràng lên và manh tràng (1) (2), kích thước ≥40mm, thời gian can thiệp ≥ 90 phút.
Ekip quyết định chụp X-quang bụng cấp cứu. Kết quả không thấy liềm hơi dưới hoành, có thể loại trừ thủng; nhưng triệu chứng đau khu trú kèm ¾ yếu tố nguy cơ (vị trí manh tràng, kích thước ≥ 40mm, thời gian can thiệp ≥ 90 phút) nên chẩn đoán hướng đến PECS. Bệnh nhân tiếp tục được xử trí bảo tồn: nhịn ăn, kháng sinh, dinh dưỡng tĩnh mạch và theo dõi sát.

Ngày thứ ba, bệnh nhân chỉ còn đau khi ấn khu trú, hết sốt và bắt đầu ăn lại vào buổi tối.

Sang ngày thứ tư, buổi sáng, bệnh nhân không còn đau bụng, không sốt, bắt đầu đi ngoài phân vàng, nhưng vẫn có lẫn một ít máu đông (đánh giá có thể là máu đông sót lại trong quá trình can thiệp). Buổi tối kiểm tra, bệnh nhân đi ngoài sẫm màu, kèm nhiều máu đông lẫn máu tươi, nghi ngờ chảy máu muộn sau ESD.
Tiến hành đo mạch, nhiệt độ, huyết áp và xét nghiệm CTM cho thấy huyết động vẫn ổn định, CTM Hb giảm nhẹ trong giới hạn theo dõi. Tuy nhiên, dựa trên nhiều yếu tố nguy cơ, bác sĩ vẫn quyết định nội soi cấp cứu cầm máu.
Kết quả bất ngờ: tổn thương được ESD tại manh tràng ổn định, không thấy điểm chảy máu; nguồn xuất huyết thực sự đến từ một polyp lớn chưa xử trí ở đại tràng sigma. Với sự đồng thuận từ người nhà và bệnh nhân, ekip đã tiến hành can thiệp cắt polyp sử dụng endoloop, vừa điều trị vừa giải quyết triệt để nguyên nhân chảy máu.

Sau đó, bệnh nhân được ăn lại vào trưa ngày thứ năm sau can thiệp. Ekip đã quyết định cho bệnh nhân ăn lại sớm sau khi đánh giá toàn trạng bệnh nhân ổn định, và việc nhịn ăn lâu cũng có thể ảnh hưởng tới quá trình lành của ổ loét.
Ngày thứ sáu, bệnh nhân ổn định, không đau bụng, không còn đi ngoài ra máu, và được xuất viện vào ngày hôm sau.
Giải phẫu bệnh
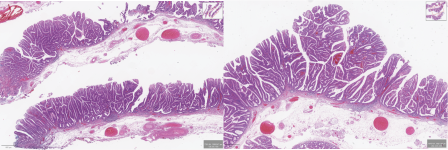
Kết quả mô bệnh học cho thấy tổn thương là u tuyến ống – nhung mao, có loạn sản độ cao. Đặc biệt, diện cắt đáy và diện cắt bên đều âm tính, tức là không còn tế bào u tại bờ phẫu tích. Điều này khẳng định ca ESD đã cắt trọn tổn thương một cách triệt để, không cần phẫu thuật bổ sung. Như vậy, mặc dù bệnh nhân trải qua nhiều biến cố hậu thủ thuật, nhưng về mặt đánh giá thủ thuật, đây là một ca điều trị thành công, loại bỏ hoàn toàn một tổn thương tiền ung thư có nguy cơ tiến triển.

Kết luận
- ESD tại manh tràng có thể thực hiện an toàn nếu chuẩn bị kỹ lưỡng, nhưng luôn tiềm ẩn nguy cơ PECS và biến chứng muộn.
- Theo dõi sau ESD là giai đoạn then chốt, cần đánh giá sát từng ngày để phân biệt thủng muộn với hội chứng đông điện và phát hiện chảy máu sớm.
- Ở bệnh nhân đa polyp đại tràng, biến chứng có thể không xuất phát từ vết cắt chính, mà từ những tổn thương chưa xử trí.
- Nội soi cấp cứu không chỉ để cầm máu tạm thời mà còn là cơ hội xử trí triệt để các polyp nguy cơ, giúp giảm tái phát và biến chứng về sau.
Nguồn thông tin trong bài:
(1)Jung D, Youn YH, Jahng J et al. Risk of electrocoagulation syndrome after endoscopic submucosal dissection in the colon and rectum. Endoscopy 2013; 45: 714-717.
(2)Choo WK, Subhani J. Complication rates of colonic polypectomy in relation to polyp characteristics and techniques: a district hospital experience. J Interv Gastroenterol 2012; 2: 8-11.
ENDOSTORY là chuyên mục chia sẻ ca lâm sàng nội soi tiêu hóa thực tiễn thực hiện bởi Lenus Việt Nam, hướng tới mục tiêu mang lại những thông tin hữu ích dành cho các bác sĩ nội soi. Mỗi tuần một “câu chuyện” sẽ được chọn lọc và đăng tải lên fanpage Lenus Việt Nam vào lúc 20h ngày Thứ Sáu.
Chuyên mục được cố vấn chuyên môn bởi BS. Trần Đức Cảnh – chuyên gia chẩn đoán và điều trị ung thư sớm. Không chỉ là bác sĩ trực tiếp tham gia rất nhiều những ca ESD phức tạp, bác sĩ Trần Đức Cảnh còn là người thầy đào tạo kỹ thuật ESD cho rất nhiều các bác sĩ nội soi trẻ tại Việt Nam, góp phần phổ biến rộng rãi kỹ thuật được coi là “chìa khoá vàng” trong điều trị ung thư sớm đường tiêu hoá này. Tinh thần chia sẻ để lan toả của bác sĩ chính là một phần cảm hứng cho sự ra đời của hành trình “kể chuyện nội soi” ENDOSTORY này.
Mọi ý kiến đóng góp / trao đổi vui lòng inbox fanpage Lenus Việt Nam hoặc gửi về email [email protected] để chúng tôi có thể được lắng nghe.