Endostory No.18: Chiến lược sử dung dao Dual Knife và ITknife2 trong can thiệp ESD
Trong can thiệp ESD, chiến lược là yếu tố quyết định thành công không kém kỹ thuật. Việc lựa chọn đúng dụng cụ, định hướng thao tác và dự đoán trước những tình huống khó giúp thủ thuật diễn ra an toàn và hiệu quả hơn.
Và ca bệnh của ENDOSTORY #18 này là một minh hoạ rõ rệt cho điều đó – một trường hợp ung thư sớm dạ dày vùng thượng vị, đặt ra câu hỏi thú vị về chiến lược sử dụng dao DualKnife và IT Knife trong quá trình can thiệp.
Thông tin ca lâm sàng và quan sát ban đầu
Bệnh nhân nữ 52 tuổi, tiền sử khỏe mạnh, đến khám vì đau thượng vị, đi khám nội soi phát hiện tổn thương loét thượng vị, sau sinh thiết cho kết quả loạn sản độ cao.
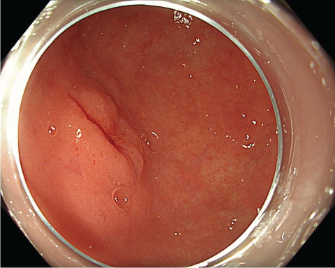
Quan sát dưới ánh sáng trắng, hình ảnh ban đầu gợi ý một tổn thương lõm nhẹ, đại thể theo phân loại Paris type 0-IIc, có mức độ co giãn tốt, không thấy dấu hiệu của một tổn thương có xâm lấn dưới niêm mạc.

Khi quan sát bằng M-NBI, có đường ranh giới tổn thương (DL) rõ ràng. Cấu trúc mạch máu (V) và bề mặt (S) bất thường, phù hợp với chẩn đoán tổn thương ác tính.
Dựa vào các dấu hiệu quan sát được trên nội soi, tổn thương được chẩn đoán là ung thư mô tuyến biệt hoá tốt (WDA), mức độ xâm lấn HGD/T1a (xâm lấn nông), chỉ định hướng xử trí là ESD.


Chiến lược can thiệp
Với các tổn thương dạ dày nhỏ, vị trí thuận lợi và niêm mạc còn co giãn tốt, việc chọn dao và chiến lược can thiệp đóng vai trò quyết định. Ekip can thiệp đã xây dựng hai phương án:
Phương án 1: Kết hợp DualKnife J và IT Knife 2
- Bước 1: Tạo 1 đường rạch nhỏ ở phía anal side (cực hậu môn) bằng dao Dual.
- Bước 2: Dùng dao IT 2 kéo ở 2 phía của đường rạch từ anal side về oral side (cực miệng) để hoàn thành việc cắt vòng tổn thương.
- Bước 3: Phẫu tích dưới niêm mạc từ oral side tới anal side, có thể sử dụng dao Dual hoặc IT.

Phương án 2: Sử dụng một dao DualKnife J duy nhất
- Bước 1: Vì dao Dual là 1 loại dao đẩy, vì vậy chúng ta sẽ cắt vòng tổn thương bằng cách đẩy dao theo 2 đường bên từ oral side về anal side.
- Bước 2: Phẫu tích dưới niêm mạc từ oral side tới anal side, có thể sử dụng dao Dual hoặc IT.

Trong thực tế, ca này được thực hiện với DualKnife J duy nhất. Quá trình diễn ra không có dấu hiệu non-lifting, sử dụng nguồn cắt đốt Erbe Vio 3 với chế độ EndoCut effect 2, kết hợp ForceCoag 65W, cầm máu với SoftCoag 60W. Toàn bộ can thiệp hoàn tất trong 15 phút.

Kết quả và theo dõi
Mẫu bệnh phẩm sau ESD cho kết quả carcinoma tuyến biệt hoá vừa, xâm nhập lớp cơ niêm (pT1a, v0, ly0, HM0, VM0). Bệnh nhân được chỉ định theo dõi định kỳ, không cần can thiệp bổ sung.
Kết luận từ ca bệnh
Trong can thiệp ESD, việc đánh giá và lập kế hoạch trước thủ thuật đóng vai trò quan trọng cho sự thành công của ca can thiệp. Một kế hoạch rõ ràng giúp bác sĩ dự đoán trước các khó khăn, xác định trình tự thao tác, thời gian dự kiến và chủ động chuẩn bị các phương án dự phòng khi tình huống không thuận lợi. Ngược lại, thiếu chuẩn bị có thể dẫn đến xử lý bị động, quyết định vội vàng và sai sót kỹ thuật, làm tăng nguy cơ tai biến và biến chứng.
Ca bệnh một lần nữa sẽ là lời nhắc nhở: ESD thành công không chỉ nằm ở kỹ năng thao tác, mà bắt đầu từ chính tư duy chuẩn bị của người thực hiện.
ENDOSTORY là chuyên mục chia sẻ ca lâm sàng nội soi tiêu hoá, được thực hiện bởi Lenus Việt Nam, hướng tới mục tiêu mang lại những thông tin hữu ích dành cho các bác sĩ nội soi. Mỗi tuần một “câu chuyện” sẽ được chọn lọc và đăng tải lên fanpage Lenus Việt Nam vào lúc 20h ngày Thứ Sáu.
Chuyên mục được cố vấn chuyên môn bởi BS. Trần Đức Cảnh – chuyên gia chẩn đoán và điều trị ung thư sớm. Không chỉ là bác sĩ trực tiếp tham gia rất nhiều những ca ESD phức tạp, bác sĩ Trần Đức Cảnh còn là người thầy đào tạo kỹ thuật ESD cho rất nhiều các bác sĩ nội soi trẻ tại Việt Nam, góp phần phổ biến rộng rãi kỹ thuật được coi là “chìa khoá vàng” trong điều trị ung thư sớm đường tiêu hoá này. Tinh thần chia sẻ để lan toả của bác sĩ chính là một phần cảm hứng cho sự ra đời của hành trình “kể chuyện nội soi” ENDOSTORY này.
Mọi ý kiến đóng góp / trao đổi vui lòng inbox fanpage Lenus Việt Nam hoặc gửi về email lenus-mkt@lenusvn.com để chúng tôi có thể được lắng nghe.